マウスピース矯正ローコスト
  • 料金
  • 症例
  • 専門クリニック
カウンセリング予約
マウスピース矯正ローコスト
  • サービスの特徴
  • 対応している歯並び・症例
  • 矯正の流れ
  • 料金
  • 専門クリニック
  • よくある質問
  • 公式ブログ
  • 歯科医療関係者の方々
  • カウンセリング予約
  • カウンセリング予約
  • 歯科医療関係者の方々
  • instagram

    Instagram

  • tiktok

    TikTok

  • X

    X

  • youtube

    YouTube

  • クリニック一覧
  • 医院概要
  • 特定商取引法に基づく表記
  • プライバシーポリシー
  • お問合せ
ご予約はこちら 矢印

6万円相当の初診料0円

カウンセリング予約 矢印

※専門クリニックは完全無料。
提携クリニックによって初診料は異なります。

  • 調査方法:インターネット調査期間:2022年4月13日~14日 調査対象:歯科医師504名対象
    選定方法:アンケートを基に所定の条件に合致する対象者を抽出
    アンケートモニター提供元:ゼネラルリサーチ
  • 2025年7月自社調べ(クラウドソーシング実施)
    マウスピース矯正経験者(n=100)/国内主要6ブランド比較

6万円相当の初診料0円

カウンセリング予約 矢印

マウスピース矯正ローコスト
6つの特徴

  • 月々3,000円〜!最短1ヶ月で治療完了!

    月々1,760円〜!
    最短1ヶ月で治療完了!

  • 幅広い歯並びに対応

    幅広い歯並びに対応

  • 最短2週間で矯正スタート

    最短2週間で
    矯正スタート

  • 矯正に必要な施術費用もまるごとカバー!

    矯正に必要な施術費用
    まるごとカバー!

  • 痛みが少ない

    痛みが少ない

  • マウスピースのみで完結

    マウスピースのみで
    完結

特徴をもっと見る

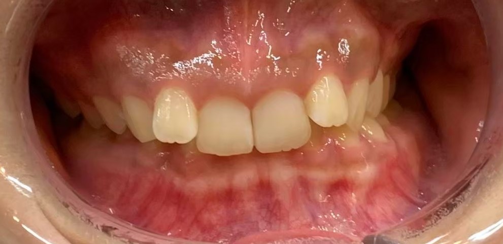
症例・対応できる歯並び

症例

  • 治療期間
    約6ヶ月(治療中)
  • 治療総額
    66万円(税込)
  • プラン
    プロプラン
  • 症例
    ガタガタの歯並び
症例をもっと見る

※効果には個人差があります。※治療回数を元に最新の料金を記載、期間は実際にかかった治療期間を記載しています。※矯正後にリテーナーの使用を推奨しておりますが、リテーナーの追加費用は算出しておりませんのでご注意ください。※主なリスク: 虫歯・歯肉炎・歯周病・ブラックトライアングル・歯根吸収・歯肉退縮・1日20時間以上のマウスピース装着が必須・マウスピースにより痛みを感じる可能性・治療中に一時的にかみ合わせに不具合をきたす可能性・最後にお渡しするマウスピースまたはリテーナーを矯正と同等の期間、1日20時間以上の装着を推奨。

※症例写真に関するご不明点やご質問がありましたら、メールにてお問い合わせください。info@kyouseishika-clinic.com

対応できる歯並び

  • 出っ歯(上顎前突)
    出っ歯
    (上顎前突)
  • すきっ歯(空隙歯列弓)
    すきっ歯
    (空隙歯列弓)
  • 八重歯(上下)
    八重歯
    (上下)
  • 中心がずれている
    中心が
    ずれている
  • 前歯が閉じない
    前歯が閉じない
  • クロスバイト<br>(交叉咬合)
    クロスバイト
    (交叉咬合)
  • ガタガタした歯並び(叢生)
    ガタガタした
    歯並び
    (叢生)
笑った時に見える部分に特化したプラン

笑った時に見える部分に
特化したプラン

※歯並びの状態をみてご担当医より適切なプランをご提示いたします
※価格は全て税込みです
※4 カード分割払い:デンタルローンで100回払いの場合(手数料除く)

料金についてもっと見る

監修医師

市川 信一 博士(歯学)

市川 信一 博士(歯学)

  • 日本歯科大学 非常勤講師
  • 日本アンチエイジング歯科学会 副会長

市川歯科医院 院長(東京都港区)

経歴|日本歯科大学 卒業

北原 信也 博士(歯学)

北原 信也 博士(歯学)

大手マウスピース矯正メーカー日本初導入医院

  • 日本大学松戸歯学部 客員教授
  • 昭和大学歯学部 客員教授
  • 日本大学歯学部 講師

ノブデンタルオフィス 総院長(東京都中央区)

経歴|日本大学松戸歯学部 卒業

田中 正一 先生

田中 正一

  • インビザライン認定ドクター
  • アソアライナー認定ドクター

銀座デンタルホワイト 新宿院 院長(東京都新宿区)

経歴|日本歯科大学 卒業

歯科医師 所属学会(一部)


所属学会ロゴ

歯科医師インタビュー

  • マウスピース矯正ローコストの
    メリットを教えてください!

    市川 麻里江先生 ほぼ抜歯することもなく矯正器具などがお口の中でひっかかることもなく、お話するにも呂律がまわらない...ということにはならないので装着時も楽に生活できます。

  • 逆に、デメリットはありますか?

    市川 麻里江先生 マウスピースを1日20時間以上は装着することになるので、患者様ご自身の努力が必要になります。

  • 過去にマウスピース矯正ローコストを治療された患者様で印象に残っているエピソードを教えてください。

    中目黒コヤス歯科 小安 正洋先生 矯正は興味があるが金額的に手が出ない、と言う患者様が興味を示してくださった事や、自分自身で歯が動いているのを実感し、それがモチベーションにつながると話していただいた事が印象的です。
    また、ご自宅にマウスピースが届きますので、来院回数が少なく、新型ウイルスの影響で外出ができない時でも矯正治療が自宅でできる、と言うのも最大のメリットだなと患者様と接していて感じます。

6万円相当の初診料0円

カウンセリング予約 矢印

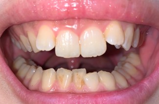
お客様の声

地道に頑張るのが苦手な私でも最後まで頑張れました!20代女性

Before After

総額:55万円(税込)

  • IPRあり、アタッチメントあり(いずれもコース料金に含まれます)
  • 効果には個人差があります
Before After

マウスピース矯正ローコストで、治療してみてどうでしたか?
あまり目立たないかたちで矯正が進んでいくのが1番の魅力だと思います!個人的には痛みが少ないことに加えて、食べ物の制限がないこと、そして少しずつ歯並びが綺麗になっていく先のゴールを見ながら頑張れるというのが地道に頑張るのが苦手な私でも最後まで頑張れた大きなポイントかなと思います。

矯正の流れ

  • カウンセリング予約

  • 初回カウンセリング

  • お申し込み

  • マウスピースのお渡し 矯正開始

  • 矯正終了

治療の流れをもっと見る

6万円相当の初診料0円

カウンセリング予約 矢印

公式ブログ

  • お知らせ

    25.06.06【2025年】東京都新宿区でマウスピース矯正対応のおすすめクリニック5選

  • お知らせ

    25.06.06マウスピース矯正で前歯だけ治せる?値段・期間・メリットを解説

お知らせ

  • 25.05.29 コーポレートサイト公開のお知らせ

  • 25.04.03 ゴールデンウィーク カウンセリング予約サポート(予約確定連絡)業務のお知らせ

  • 24.11.21 年末年始カウンセリング予約サポート(予約確定連絡)業務休業のお知らせ

  • 24.08.30 サービス名変更のお知らせ「ローコストホワイトニング」→「Dr. Smile Whitening」へ

お知らせ一覧へ
  • マウスピース矯正ローコスト6つの特徴
  • 症例・対応できる歯並び
  • 料金について
  • よくある質問
  • 矯正の流れ
  • カウンセリング予約
TOP
マウスピース矯正ローコスト

公式SNS

  • instagram

    Instagram

  • tiktok

    TikTok

  • X

    X

  • youtube

    YouTube

Copyright © 矯正歯科クリニック新宿駅前歯科

  • 医院概要
  • クリニック一覧
  • 特定商取引法に基づく表記
  • プライバシーポリシー
  • お問い合わせ